Skip to content
USA: +99 (0) 101 0000 888
EU: +34 630 112 570
jacintocano@3d4dentist.com
Home
About
Services
Planning Partially Edentulous
Planning Full Edentulous
SMILE DESIGN & DIAGNOSTIC PLANNING
Temporaries
Night Guards
Case Consultation
Chairside Clinical Consultation
Contact
Home
About
Services
Planning Partially Edentulous
Planning Full Edentulous
SMILE DESIGN & DIAGNOSTIC PLANNING
Temporaries
Night Guards
Case Consultation
Chairside Clinical Consultation
Contact
Login
Create Case
Login
Create Case
Planning Partially Edentulous
Home
Services
Planning Partially Edentulous
What we need from you?
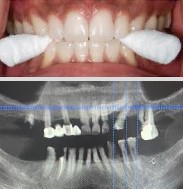
CBCT
DICOM FORMAT
NO CD WITH VIEWER
INTRAORAL SCAN
MAKE SURE THERE ARE NO HOLES ON SCAN.
CAPTURE AS MUCH SOFT TISSUE AS POSSIBLE AND FULL PALATE
PATIENT’S PORTRAIT PICTURE SMILING, RESTING AND RETRACTORS